Ceramic Braces
Ceramic Braces
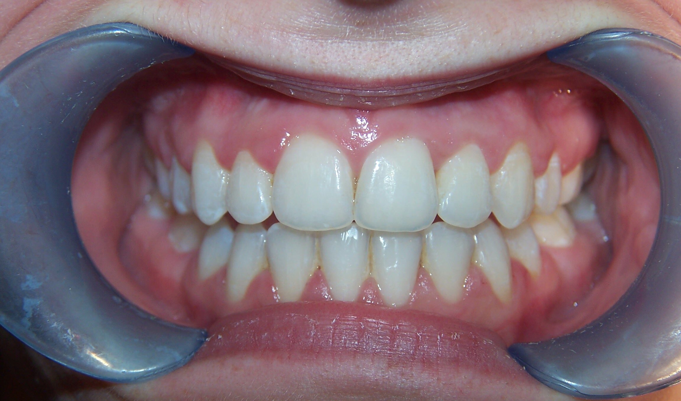
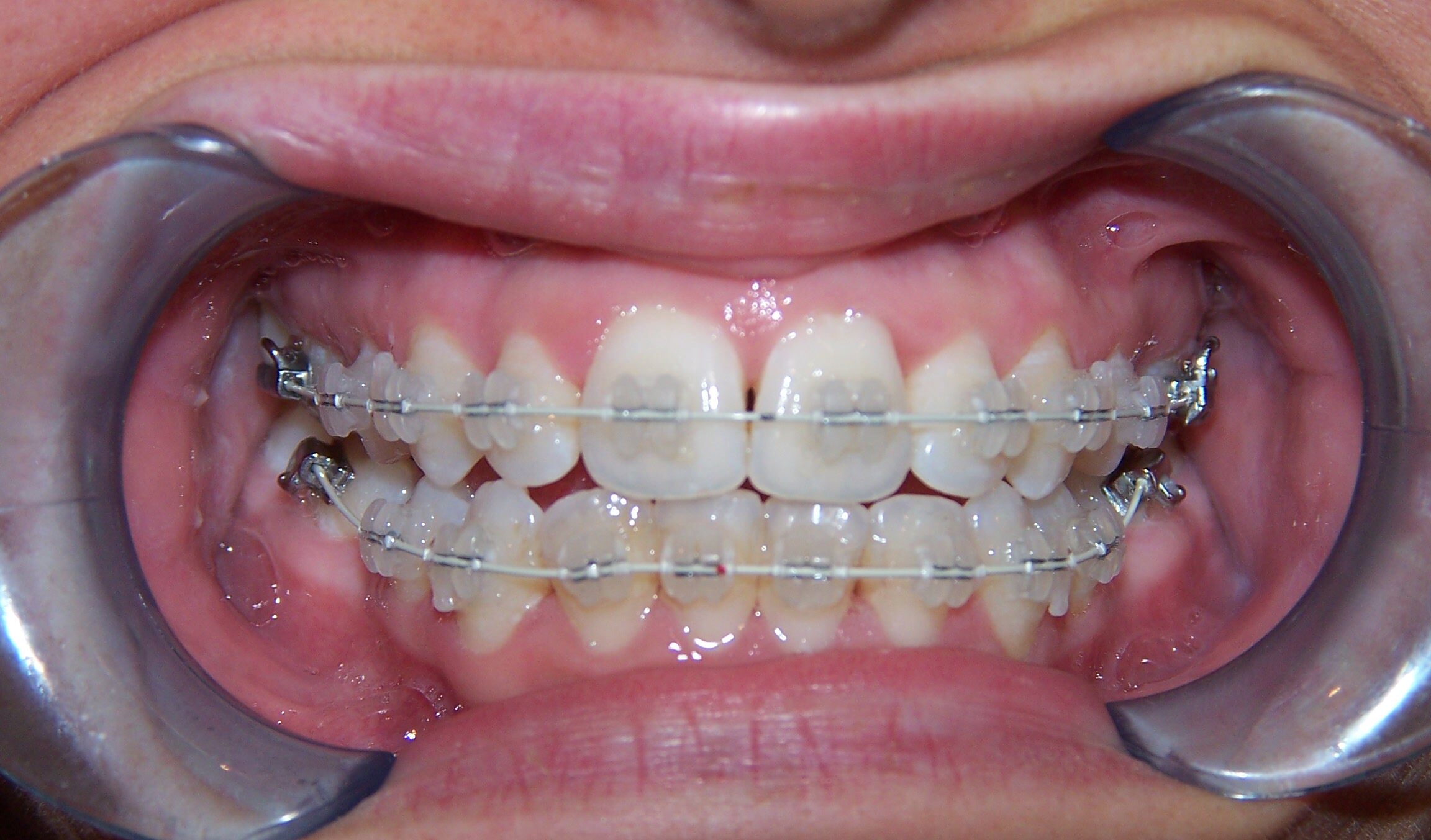
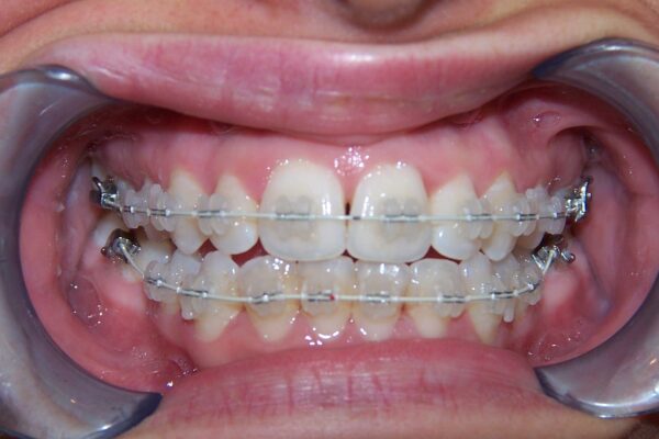
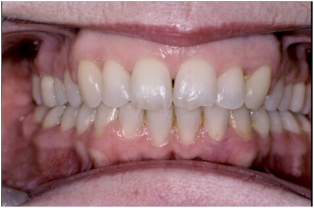
Ceramic braces provide hidden and discreet teeth straightening treatment. Just like Invisalign aligners and lingual braces, these are a cosmetic braced option for people of all ages who are self-conscious about wearing braces. Ceramic braces are often chosen and recommended to our patients because they offer an outstanding aesthetic orthodontic treatment option and they deliver excellent results.
When it comes to caring for your ceramic braces then you need to take into consideration that they can break under pressure and so being careful when brushing your teeth or playing contact sports is always advised. If you do play sports then we recommend that you wear orthodontic mouth-guards which protects your teeth from impact.
Here at Preston Orthodontics, we recommend that you talk to our team of experienced orthodontists who can explain the benefits of a ceramic tooth coloured brace further.
Contact Information
Blackburn
Lancashire
BB1 6BE
Opening Hours
Tuesday: 8:00 – 17:30
Wednesday: 8:00 – 19:00
Thursday: 8:00 – 19:00
Friday: 9:00 – 15:00
Saturday: Closed
Sunday: Closed
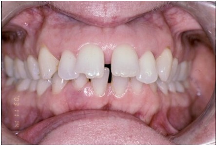
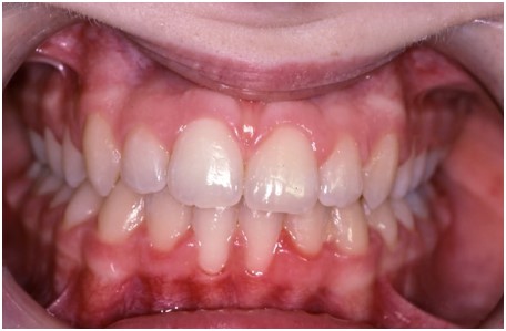
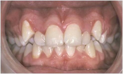
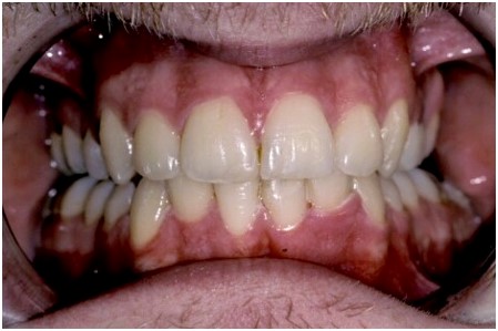
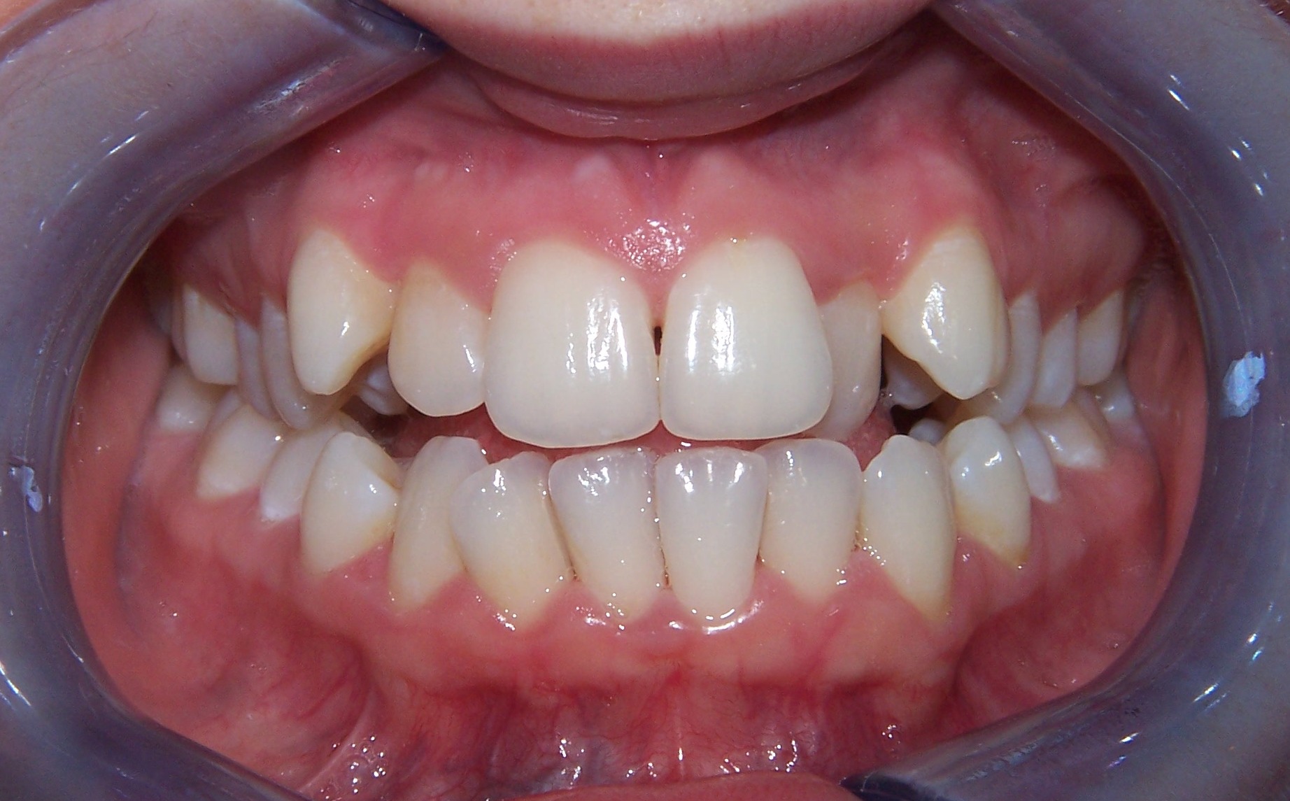
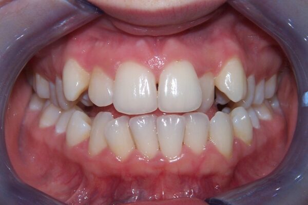
CASE STUDY 1
BEFORE
AFTER
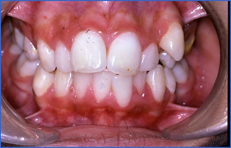
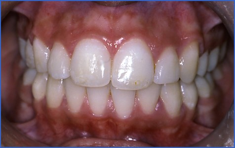
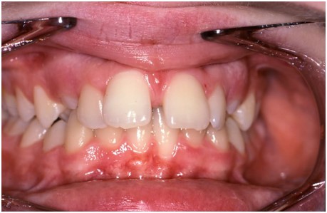
CASE STUDY 2
BEFORE
AFTER
CASE STUDY 3
BEFORE
AFTER
CASE STUDY 4
BEFORE
AFTER
CASE STUDY 5
BEFORE
AFTER
