Lingual Braces
Price: from £2100
Treatment Information:
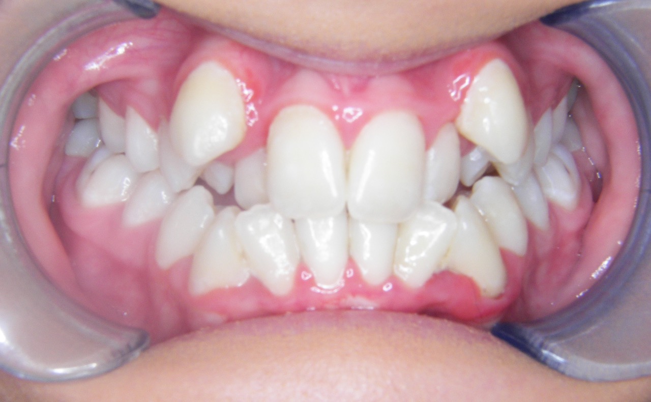
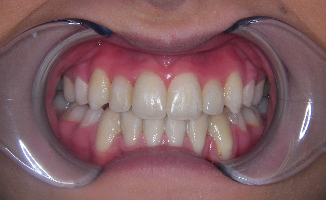
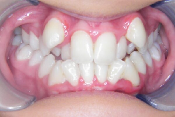
Are lingual braces effective?
At Preston Orthodontics one of our most popular hidden brace systems are lingual braces. The lingual system can be used to treat a variety of orthodontic problems and are an extremely discreet way of straightening teeth compared with traditional metal braces.
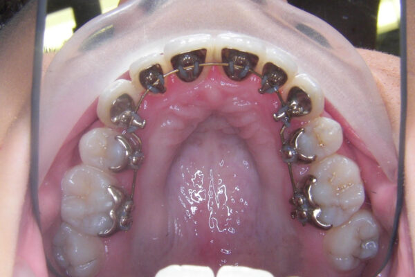
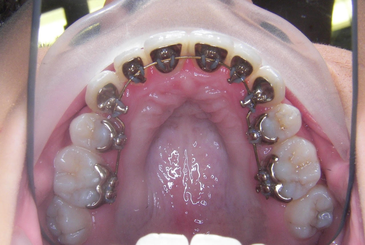
The lingual brace system is comprised of small brackets and arch wires that are custom-made to fit the individual shape of your teeth. The metal brackets are bonded to the back of the teeth making them virtually invisible to other people.
The hidden braces that we offer at Preston Orthodontics work in very much the same way as traditional braces to effectively straighten your teeth, but are probably the most invisible method we offer.
Our chosen brands: Incognito™
The Incognito™ appliance is many patient’s chosen lingual brace of choice. They are one of the most invisible orthodontic appliances at Preston Orthodontics as the lingual system is fixed to the tongue-side surface of your tooth, therefore go unnoticed by many people making them a perfect choice for people in the spotlight.
Incognito™ hidden braces are custom-made from gold. They are created using state of the art technology to ensure they are an exact fit for your teeth.
Incognito™ braces produce fast and predictable results and are less likely than traditional braces to lead to problems such as decalcification and decay.
You may experience a little discomfort for the first ten days or so of wearing the Incognito braces, but once you get used to them you should find them very easy to live with. The end result will be a beautifully straight smile that you will love to show off!
Forestadent® 2D Lingual Brackets
Forestadent® 2D Lingual Brackets are extremely flat; in fact they are currently the flattest lingual brackets on the market with a thickness of just 1.3 to 1.65mm.
The lingual bracket’s flatness, in combination with its round edges and smooth surfaces, make it the number one lingual system for patient comfort.
Hidden lingual braces are a perfect solution for those patients that are not suitable for the clear aligners we offer, such as Invisalign.
The treatment time for lingual braces varies depending on each case. For some patients, this could be as short as six months, and for others it could be 24 months.
