ORTHOGNATHIC SURGERY
Price: Based on Consultation
Treatment Information:
How do you know if you need jaw surgery?
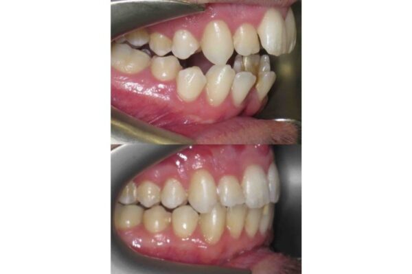
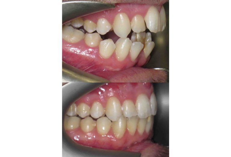
Orthognathic surgery or known simply as jaw surgery is undertaken to correct severe jaw discrepancies and involves a combination of surgery and treatment. It can greatly improve oral function, facial and dental appearance and the patient’s quality of life.
Optimal treatment is best provided by a team approach. A combined treatment plan is created by the maxillofacial surgeon and orthodontist. Braces are usually worn for a period of time to ensure that the teeth will be properly positioned after surgery. The operation involves a controlled section of the jaw and movement into the pre-planned position. Post-surgical orthodontics usually takes less than six months to achieve the best possible outcome.
Patients undergoing orthognathic surgery require complex interdisciplinary care. At Preston Orthodontics we ensure close liaison between highly trained and experienced clinicians. This type of surgery is only performed by Consultants trained in Orthognathic procedures. All the Consultants at Preston Orthodontics are trained and regularly undertake this type of work. The treatment is timely and the transitions between the various stages are smooth. We offer the specialist care that is needed to perform jaw surgery successfully.
